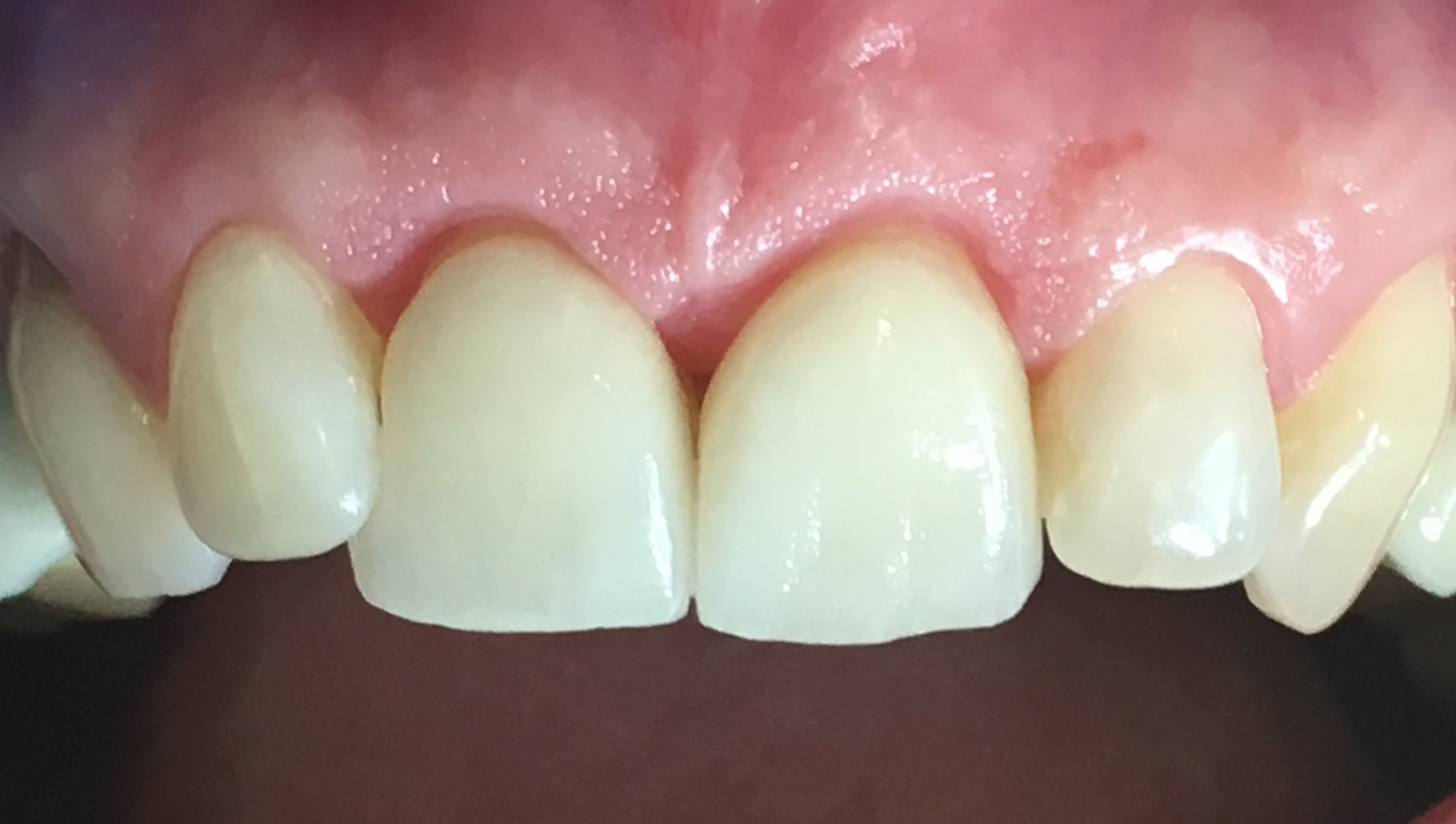
L’odontoiatria restaurativa è la branca dell’odontoiatria che si occupa di curare e riparare i denti danneggiati, e conservare per quanto possibile tutta la struttura dentaria residua. Attraverso otturazioni adesive, ricostruzioni o intarsi ripara i danni provocati per lo più dalla carie, ma anche da fratture o da anomalie di forma e colore, restituendo ai denti una corretta funzionalità ed estetica. Sempre maggiore è inoltre il numero dei pazienti che desidera per motivi estetici sostituire le precedenti otturazioni in amalgama d’argento con otturazioni estetiche in resina composita.
La moderna odontoiatria conservativa è basata sul concetto di minima invasività, grazie alle caratteristiche adesive dei materiali composti, viene cioè rimosso il solo tessuto cariato. Se la quantità di sostanza dentale da ricostruire è notevole, l’indicazione è per un intarsio, un restauro indiretto che viene realizzato in laboratorio e cementato successivamente sul dente preparato dal dentista.


